

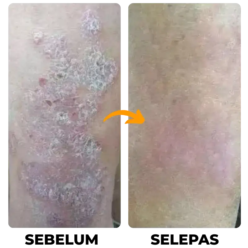
Antara Pengguna-Pengguna Yang Berjaya Dengan DermiXa+



Kulit jadi merah gelap, bersisik tebal & merekah – makin susah nak sembuh kalau dibiar.

Naik gelembung berair, bila pecah terus melekit & merah – tanda keradangan kronik dah mula.

Gatal tak henti siang malam, sampai luka berdarah & kulit jadi tebal kehitaman.

Jangkitan bakteria pada lapisan dalam kulit yang menyebabkan kawasan jadi merah, bengkak, panas dan sakit bila disentuh.

Garu berulang & jangkitan bakteria boleh buat luka makin besar, bernanah & lambat sembuh. Kalau makin serius, boleh sampai perlu rawatan klinikal.

Bila kulit gatal tak berhenti waktu malam, kau tak boleh tidur lena. Esoknya letih, tak fokus, kerja terganggu & mood harian jadi teruk.

Bila dibiarkan, kulit boleh jadi kasar, bersisik & meninggalkan parut kekal yang sukar pulih balik. Kulit dah tak sama macam dulu.

Ramai yang akan cuba krim steroid berulang kali. Tapi kalau guna lama, kulit makin nipis, sensitif & boleh rosak kekal.

Memperkenalkan

Formula Khas Dari Sains & Teknologi Terkini Oleh Pakar² Untuk Mengatasi Pelbagai Masalah Kulit
Hanya Menggunakan Bahan² SemulaJadi

Anti-radang, kurangkan kegatalan & cerahkan parut

Penyembuh luka semula jadi, pulihkan kulit merekah

Antioksidan tinggi, lindungi kulit dari jangkitan

Antibakteria, elak kulit luka makin teruk



Cuci Bahagian Luka / Gatal Dengan Air Yang Bersih & Lap Hingga Kering

Sapukan Pada Bahagian Kulit Yang Bermasalah

Tunggu Hingga Gel Meresap Dalam Kulit




“Sebelum ni kawasan berlipat kat perut ni memang teruk gatal, mengelupas & gelap sangat Lepas konsisten sapu Dermixa+ pagi & malam, dalam masa 2 minggu je dah nampak perubahan.”

“Dulu kulit kat bahu ni kering teruk & menggelupas sampai rasa pedih bila berpeluh. Lepas sapu Dermixa+ hari-hari, tak sampai sebulan dah licin balik. Memang puas hati!”

“Tapak tangan acik dulu kering sangat sampai merekah & sakit nak buat kerja rumah. Lepas pakai Dermixa+ konsisten, alhamdulillah dah lembut & tak pedih lagi.”

“Aunty ada ekzema dekat lipatan tangan, tiap kali berpeluh mesti pedih & gatal sampai susah nak tidur. Lepas guna Dermixa+, kulit makin tenang, dah tak merekah & gatal pun hilang.”

“Mula-mula keluar biji bernanah, lepas tu makin merebak & rasa panas dekat tangan. Akak cuba sapu Dermixa+ hari-hari, alhamdulillah tak sampai sebulan dah mula kering & hilang parut.”

“Betis anak dulu memang teruk mengelupas, siap berdarah kalau digaru. Pakai Dermixa+ setiap hari lepas mandi, sekarang kulit dah makin licin & tak gatal langsung.”



Kami yakin dengan keberkesanan DermiXa+
sebab tu kami berani beri jaminan 60 Hari Moneyback Guarantee.
Kalau tak nampak sebarang keberkesanan langsung, tak perlu risau…
Refund 100% akan diproses, tanpa banyak soal.
✅ Beli tanpa was-was. Risiko kami tanggung, bukan anda.



LEBIH 100 PESAKIT KULIT YANG KAMI BANTU SETIAP HARI !!


HARGA ASAL RM149 SEBOTOL,
NAMUN…
PROMOSI AKAN TAMAT PADA
Yang Penting :
FREE COD
FREE POSTAGE
Untuk Seluruh Malaysia



CARA PEMBELIAN
➡️ Masukkan Detail Anda
➡️ Pilih Pakej Mana Yang Anda Nak
➡️ Pilih Cara Bayaran
➡️ Tekan ‘SUBMIT ORDER’
Klik Butang SUBMIT ORDER Di Atas & Tunggu Hingga Ke Laman Pengesahan

Soalan Lazim Yang Sering Ditanya Pengguna Kami
✅ “Ya! Ramai pengguna dah berjaya hilangkan ekzema, luka & masalah kulit. Lihat testimoni mereka sendiri!”
✅ “Tiada! 100% bebas steroid, paraben & merkuri. Selamat & sesuai untuk kulit sensitif.”
✅ “Bergantung pada tahap masalah kulit. Biasanya, pengguna nampak perubahan seawal 3-5 hari!”
✅ “Ya! Kami yakin dengan produk ni. Jika tak nampak kesan dalam 60 hari, hubungi kami untuk jaminan kepuasan!
✅ “Ya! Sesuai untuk semua jenis kulit termasuk kulit sensitif, bayi, ibu mengandung & warga emas.”